⎯
Hệ thống PACS
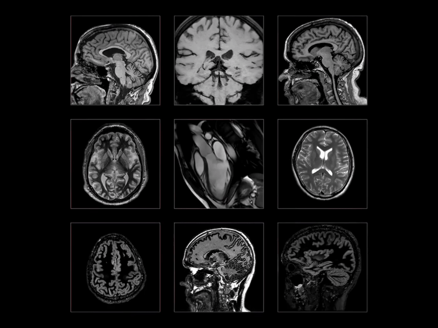
Nền tảng đồng bộ tất cả trong một: dựng hình, lưu trữ, quản lý, truyền hình ảnh y khoa đã được số hóa. Thông qua hệ thống PACS, Bệnh viện Đại học Yamanashi kiểm tra chéo kết quả chụp MRI và CT.

từ năm 1954
Khác với khám sức khoẻ thông thường Ningen Dock là mô hình tầm soát toàn diện, chuyên sâu chuẩn Nhật,giúp bạn biết rõmình thực sự khoẻ hay không. Hai bệnh viện Nhật cùng tham gia - khám SÂU, phát hiện SỚM nguy cơ UNG THƯ, ĐỘT QUỴ, BỆNH LỐI SỐNG. Nhận bản đồ sức khoẻ cá nhân hoá cùng đặc quyền chăm sóc riêng 1:1
Bernard Healthcare
Ra đời tại Nhật Bản từ năm 1954, Ningen Dock mô hình quản trị sức khoẻ chặt chẽ, giúp phát hiện sớm nguy cơ bệnh tật, từ đó xây dựng kế hoạch phòng ngừa, điều trị kịp thời, góp phần kéo dài tuổi thọ khoẻ mạnh.

Thành viên Hiệp hội Ningen Dock Nhật Bản, khu vườn y khoa triển khai mô hình Ningen Dock tại Việt Nam.

Đối tác Nhật Bản thực hiện kiểm tra chéo toàn bộ kết quả chụp MRI và CT.
Tìm hiểu thêm
Đơn vị đồng hành, quản lý chất lượng nội soi, tầm soát ung thư tiêu hoá.
Tìm hiểu thêm
Bernard vinh dự được lựa chọn trở thành Showsite đầu tiên tại Việt Nam.
Tìm hiểu thêmCông nghệ y học đã tiến một bước dài, hướng đến y học chính xác trong chăm sóc sức khoẻ chủ động
⎯
Nền tảng đồng bộ tất cả trong một: dựng hình, lưu trữ, quản lý, truyền hình ảnh y khoa đã được số hóa. Thông qua hệ thống PACS, Bệnh viện Đại học Yamanashi kiểm tra chéo kết quả chụp MRI và CT.

⎯
Công nghệ chẩn đoán hình ảnh hiện đại không sử dụng tia bức xạ, MRI đóng vai trò bổ trợ quan trọng cho CT, X-quang và siêu âm, hỗ trợ phát hiện những bất thường ở não, tim, mạch máu, cơ quan nội tạng…

⎯
Kết hợp với MRI, chụp CT liều thấp giữ vai trò quan trọng trong tầm soát chuyên sâu, cho phép tái tạo hình ảnh cắt lớp của toàn bộ cơ thể (lồng ngực, bụng chậu, cột sống…) giúp nâng cao độ chính xác trong chẩn đoán.

⎯
Hệ thống Fujifilm BL-7.000, công nghệ hình ảnh BLI, LCI giúp phát hiện tổn thương nhỏ chỉ 1-2 mm. Chuyên gia Bệnh viện Kyoto Min-iren giám sát nội soi trực tiếp (real-time) một số trường hợp đặc biệt.

⎯
Hồ sơ sức khoẻ của mỗi khách hàng Ningen Dock Bernard bao gồm bản in giấy, tài khoản số hoá có cùng nội dung. Bác sĩ đánh giá xếp hạng sức khoẻ từng hệ cơ quan theo thang điểm ABCDE tiêu chuẩn Nhật.

Đội ngũ
Để triển khai mô hình Ningen Dock, Bernard thực sự may mắn khi nhận được sự đồng hành, đồng thuận, và đồng lòng từ đội ngũ bác sĩ đa chuyên khoa giàu kinh nghiệm lâm sàng.
Bernard Healthcare
1. Khách hàng và bác sĩ cần căn cứ vào ba nhóm yếu tố chính: độ tuổi, tiền sử bệnh lý (cá nhân và gia đình) và các yếu tố nguy cơ đặc thù khi thực hiện tầm soát
2. Có 7 loại ung thư được khuyến nghị tầm soát tại Việt Nam: phổi, vú, cổ tử cung, tiền liệt tuyến, dạ dày, đại tràng, gan
1. Tất cả đều thực hiện ghi nhận trên HIS, có lưu hồ sơ và dấu ấn dữ liệu trên hệ thống kèm IP địa chỉ truy cập từ xa
2. Thông tin trung tâm công khai, có thể tham khảo tại website: https://ridc.jp/
3. Việc hợp tác giữa 2 bên có hợp đồng chính thức và được các báo đài uy tín đưa tin
4. Danh sách các Bác sĩ, Chuyên gia được công bố tại website
Để tối ưu hóa khả năng phát hiện tổn thương tiền ung thư, Bernard Healthcare đã ứng dụng đồng bộ các công nghệ trang thiết bị và quy chuẩn “chuẩn Nhật” như sau:
1. Máy nội soi Fujifilm BL-7000 với công nghệ BLI & LCI
Blue Light Imaging (BLI): Tăng cường tương phản mạch máu và cấu trúc bề mặt niêm mạc, giúp phát hiện sớm các dát niêm mạc bất thường kích thước rất nhỏ.
Linked Color Imaging (LCI): Hiển thị sắc độ khác biệt giữa tổn thương và mô lành rõ nét hơn, nâng cao độ nhạy trong soi tầm soát ung thư sớm.
2. Tiêu chuẩn kỹ thuật soi theo JSGE/KMCH
Thời gian rút ống (withdrawal time) ≥ 20 phút cho đại tràng và ≥ 7 phút cho dạ dày, đảm bảo quan sát kỹ toàn bộ bề mặt niêm mạc mà không bỏ sót vùng khuất.
Tỷ lệ phát hiện polyp (ADR): Áp dụng chỉ tiêu JSGE/KMCH, giữ ADR ≥ 30%. (mức nền thế giới là trung bình 25%, còn ở Nhật là 30-40% (ít bỏ sót hơn))
3. Double-read & real-time monitoring với đối tác Kyoto
Audit video định kỳ: Chuyên gia KMCH xem lại ngẫu nhiên video nội soi để đánh giá kỹ thuật, độ phủ biểu mô và thao tác sinh thiết.
Realtime quality supervision (từ 07/2025): Trực tuyến streaming ca nội soi đến KMCH, cho phép chuyên gia Nhật hỗ trợ đánh giá ngay lập tức khi phát hiện nghi ngờ.
Nếu có bất thường, quy trình xử lý tại Bernard gồm 5 bước:
1. Thông báo và giải thích ban đầu: Gửi kết quả; Bác sĩ tư vấn trực tiếp 1:1, giải thích ý nghĩa từng chỉ số và mức độ nguy cơ.
2. Chỉ định kiểm tra bổ sung (nếu cần)
3. Hội chẩn đa chuyên khoa
Các chuyên khoa (ung bướu, phẫu thuật, nội soi, chẩn đoán hình ảnh, …) cùng xem xét hình ảnh và sinh thiết dưới sự chủ trì của Hội đồng Y khoa.
Hội chẩn quốc tế: Nếu cần, gửi hồ sơ (hình ảnh, kết quả mô bệnh học) tới đối tác UoYH hoặc KMCH để lấy ý kiến chuyên gia Nhật Bản qua hệ thống PACS/JRID hoặc streaming real-time.
4. Lập kế hoạch điều trị và theo dõi
Xây dựng phác đồ cá nhân hóa: theo dõi, điều trị nội khoa, phẫu thuật, hoá trị/xạ trị (nếu cần).
Đưa lịch tái khám và kiểm tra định kỳ.
Tư vấn lối sống: Chế độ dinh dưỡng, vận động, kiểm soát stress, hỗ trợ tâm lý.
5. Hỗ trợ lâu dài và đồng hành bệnh nhân
Nhắc lịch tái khám tự động.
Hỗ trợ tư vấn từ xa (telemedicine) khi cần.
Gói tầm soát tại Bernard bao gồm:
• Khám lâm sàng chuyên khoa: Nội tổng quát, Tai Mũi Họng, Ngoại khoa, Phụ khoa (nữ).
• Xét nghiệm chuyên sâu: 20–22 chỉ số máu, nước tiểu, chỉ dấu ung thư (AFP, CEA, PSA, CA 19- 9, CYFRA 21-1, ProGRP…).
• Chẩn đoán hình ảnh: CT scan toàn thân (cổ, ngực, bụng, chậu); MRI sọ não.
• Siêu âm tổng quát: bụng, tuyến giáp, tuyến vú (nữ).
• Nội soi không đau: thực quản – dạ dày – tá tràng, đại trực tràng, Tai Mũi Họng.
• Tầm soát ung thư phụ khoa (nữ): HPV Genotyping, PAP test, Soi cổ tử cung[03.2025] TẦM SOÁT UNG …[03.2025] TẦM SOÁT UNG ….